Bite Issues
Boland Orthodontics
Treating a Variety of Bite Issues
Get high-quality orthodontic care at Boland Orthodontics from a doctor with over 25 years of experience. We offer top-quality services and use the latest orthodontic techniques to treat your bite issues.
A common misconception is that orthodontic treatment is only used to straighten teeth. At Boland Orthodontics, we do more than create beautiful smiles! Our orthodontic treatment can also can also adjust the position of your jawbone to correct a variety of bite issues. The way your teeth fit together is important not just cosmetically. Your bite also affects the way you chew, swallow, breathe and digest food. Bite issues aren't always obvious. Some signs your bite might be off include:
- TMJ (pain, soreness, or stiffness when you open your jaw)
- Headaches
- Speech issues
- Teeth grinding
- Difficulty chewing
- Gum disease
Dr. Boland has received special training and uses the most advanced techniques to treat any bite issue you may be dealing with. Don't hide your smile or suffer from pain because of your bite issues! Contact us to see how we may be able to help.
Contact us today for all your orthodontic care needs. We offer same-day appointments for new patients.

We Can Treat Any of These Common Conditions and Many More...

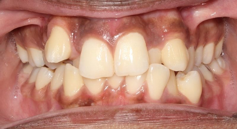
Crowding
Teeth may be aligned poorly because the dental arch is small and/or the teeth are large. The bone and gums over the roots of extremely crowded teeth may become thin and recede as a result of severe crowding. Impacted teeth (teeth that should have come in, but have not), poor biting relationships and undesirable appearance may all result from crowding.

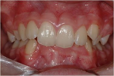
Deep Bite
A deep overbite or deep bite occurs when the lower incisor (front) teeth bite too close or into the gum tissue behind the upper teeth. When the lower front teeth bite into the palate or gum tissue behind the upper front teeth, significant bone damage and discomfort can occur. A deep bite can also contribute to excessive wear of the incisor teeth.

Underbite
About 3 to 5 percent of the population has a lower jaw that is to some degree longer than the upper jaw. This can cause the lower front teeth to protrude ahead of the upper front teeth creating a crossbite. Careful monitoring of jaw growth and tooth development is important.

Spacing
If teeth are missing, small or the dental arch is very wide, space between the teeth can occur. The most common complaint from those with excessive space is cosmetic appearance.

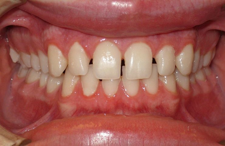
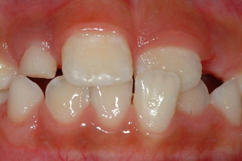
Overbite
Upper front teeth that protrude beyond normal contact with the lower front teeth are prone to injury, often indicate a poor bite of the back teeth (molars), and may indicate unevenness in jaw growth. Commonly, protruded upper teeth are associated with a lower jaw that is short in proportion to the upper jaw. Thumb and finger-sucking habits can also cause a protrusion.

Crossbite
The most common type of crossbite is when the upper teeth bite inside the lower teeth (toward the tongue). Crossbites of back teeth or front teeth are commonly corrected early, due to biting and chewing difficulties.




